Minha Saúde
Adipócitos Marrom, Bege e Branco: Como os Tipos de Gordura Influenciam o Metabolismo
Descubra como a gordura marrom, bege e branca trabalham de formas completamente diferentes no seu organismo — e por que entender isso pode transformar sua relação com o emagrecimento.
Regina Dias
2/10/20266 min ler
Quando você pensa em gordura corporal, provavelmente imagina aquela reserva teimosa que insiste em aparecer. Mas aqui vai uma informação que pode mudar sua perspectiva: nem toda gordura do seu corpo funciona da mesma forma. Na verdade, você carrega três tipos diferentes de tecido adiposo, e cada um tem um papel único no seu metabolismo.
E a parte mais interessante? Um desses tipos está literalmente queimando calorias para gerar calor neste exato momento — mesmo enquanto você lê este artigo do sofá. Vamos entender como funciona essa engrenagem metabólica que vai muito além do "engordar" ou "emagrecer".
Por Que Seu Corpo Precisa de Gordura
Antes de falarmos sobre os tipos, vale um lembrete: o tecido adiposo não é seu inimigo. Ele funciona como uma reserva energética para momentos de necessidade, protege seus órgãos contra impactos, mantém a temperatura corporal estável e — surpresa — age como um órgão endócrino ativo, liberando substâncias que conversam com o resto do corpo.
O problema nunca foi ter gordura. O problema é quando ela se acumula em excesso, especialmente em lugares específicos, ou quando o tipo errado domina a cena. E é aqui que entram os três personagens principais dessa história.
Gordura Branca: A Reserva Estratégica que Virou Estoque Cheio
O tecido adiposo branco é o tipo mais abundante no corpo adulto. Quando você olha para uma célula de gordura branca ao microscópio, vê algo curioso: uma única gota gigante de gordura ocupa quase todo o espaço, empurrando o núcleo da célula para o canto, como se fosse um balão inflado.
O que ela faz:
Armazena energia na forma de triglicerídeos, que podem ser liberados quando você fica sem comer por um tempo ou precisa de energia extra
Produz hormônios como a leptina, que avisa ao cérebro que você já comeu o suficiente, e a adiponectina, que melhora a sensibilidade à insulina
Funciona como isolante térmico e proteção mecânica para os órgãos
Até aqui, tudo funciona bem. O problema começa quando a gordura branca se expande demais, principalmente na região da barriga (gordura visceral). Nesse cenário, ela deixa de ser apenas um depósito passivo e passa a secretar moléculas inflamatórias que aumentam o risco de resistência à insulina, problemas cardiovasculares e diabetes tipo 2.
Na prática, isso significa que a localização e a quantidade de gordura branca fazem toda a diferença para sua saúde metabólica.
Gordura Marrom: A Queimadora de Calorias do Seu Corpo
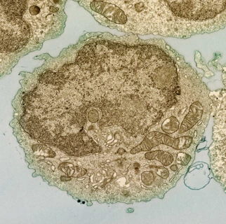
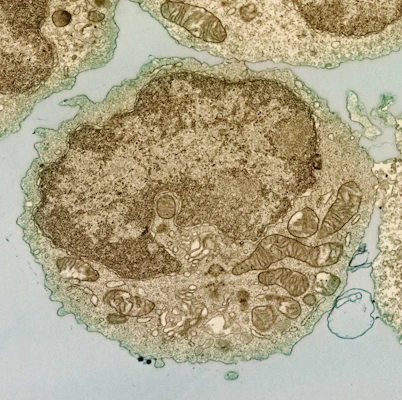
Agora vem a parte interessante. A gordura marrom é completamente diferente da branca — e não só na aparência. Em vez de uma gota única, suas células contêm várias gotículas pequenas de gordura espalhadas pelo citoplasma. Além disso, estão cheias de mitocôndrias, aquelas organelas responsáveis por produzir energia.
Mas aqui está o detalhe crucial: essas mitocôndrias possuem uma proteína especial chamada UCP1, que literalmente desvia a produção de energia. Em vez de gerar ATP (a moeda energética das células), elas transformam glicose e gordura diretamente em calor. É como se você ligasse o aquecedor do carro sem sair do lugar — o combustível é queimado, mas você não se move, apenas aquece.
Por que isso importa: A gordura marrom consome calorias para manter sua temperatura corporal, especialmente quando você sente frio. Os recém-nascidos têm bastante gordura marrom justamente para se proteger do frio, já que não conseguem tremer para se aquecer. Durante muito tempo, acreditava-se que adultos perdiam quase toda essa gordura. Mas descobrimos que ela ainda está lá, principalmente no pescoço e na região das clavículas.
E aqui vem o melhor: quando a gordura marrom está ativa, ela melhora a sensibilidade à insulina e aumenta o gasto energético total. Pense nela como um motor que trabalha em segundo plano, queimando combustível mesmo quando você está em repouso.
Gordura Bege: A Transformação que Seu Corpo Pode Fazer
Se a gordura marrom parece boa demais para ser verdade, espera só. Existe um terceiro tipo que pode ser ainda mais promissor: a gordura bege (ou "brite", de "brown-in-white", marrom-no-branco).
A gordura bege não nasce assim. Ela começa como gordura branca normal, mas pode se transformar quando você expõe seu corpo a certos estímulos — como frio, exercício físico ou sinais hormonais específicos. Quando isso acontece, essas células começam a expressar a mesma proteína UCP 1 da gordura marrom, ganhando capacidade de queimar energia para gerar calor.
Como funciona a transformação: Imagine que as células de gordura branca têm um "interruptor" que pode ser ativado. Quando você se exercita regularmente, fica exposto ao frio ou recebe sinais metabólicos adequados, esse interruptor liga. A célula aumenta o número de mitocôndrias, começa a produzir UCP1 e passa a funcionar como gordura marrom.
Esse processo — chamado de "browning" (escurecimento) — tem chamado muita atenção de pesquisadores porque representa uma possibilidade real de aumentar seu gasto energético sem necessariamente fazer mais exercícios ou comer menos.
Principais publicações ↗
Anúncios
Relacionados ⇄
O Que a Ciência Recente Descobriu
Estudos publicados em 2025 mostram resultados impressionantes sobre esse fenômeno de conversão. Pesquisadores desenvolveram um adesivo de microagulhas contendo nanopartículas que, quando ativadas por luz infravermelha, geram calor localizado na pele. Esse calor não queima a gordura por temperatura alta, mas ativa vias biológicas específicas que forçam a gordura branca a se transformar em bege.
Em testes com camundongos, o tratamento resultou em uma redução de 19% no peso corporal em quatro semanas, além de melhora na tolerância à glicose e redução de gordura no fígado. Não estamos falando de ficção científica — essa tecnologia já está sendo testada como uma possível alternativa não invasiva para tratamento da obesidade.
Mas não é só sobre perder peso. Quando a gordura bege é ativada, ela passa a secretar moléculas chamadas "batocinas", que melhoram o metabolismo de todo o organismo, incluindo coração, músculos e fígado. É como se essa gordura conversasse com outros órgãos, dizendo: "Ei, vamos trabalhar melhor juntos."
O Que Você Pode Fazer com Essa Informação
Agora que você sabe que nem toda gordura é igual, vem a pergunta prática: como ativar mais gordura marrom ou estimular o "browning" da gordura branca?
Exercício físico regular: A contração muscular durante o exercício libera substâncias que podem estimular a conversão de gordura branca em bege. Isso acontece principalmente com exercícios aeróbicos e de resistência.
Alimentação adequada: Alguns nutrientes, como ômega-3 e compostos presentes em chás como o verde, têm sido estudados por seu potencial de ativar a gordura marrom. Mas atenção: isso funciona como parte de um conjunto de hábitos, não como solução isolada.
Sono de qualidade: A privação de sono está associada à menor atividade da gordura marrom e maior acúmulo de gordura branca visceral. Dormir bem é parte do processo.
Nem Tudo É Simples (e Está Tudo Bem)
Antes que você saia correndo para tomar banho gelado todos os dias, é importante reconhecer que a resposta do corpo varia de pessoa para pessoa. Fatores como genética, idade, histórico metabólico e até mesmo o microbioma intestinal influenciam quanto de gordura marrom você tem e quão facilmente a branca se converte em bege.
Além disso, a ciência ainda está descobrindo os melhores caminhos para aplicar esses conhecimentos de forma prática e segura. O que já sabemos é suficiente para entender que a gordura corporal é muito mais complexa — e muito mais interessante — do que imaginávamos.
Repensando a Gordura Corporal
Quando olhamos o tecido adiposo por esse ângulo, fica claro que ele não é apenas um vilão que precisa ser eliminado. Na verdade, você tem um sistema metabólico dinâmico que pode trabalhar a seu favor ou contra você, dependendo de como você vive, se move e cuida do corpo.
Da próxima vez que você pensar em gordura, lembre-se: ela é branca quando armazena, marrom quando queima, e bege quando se transforma. E você tem mais controle sobre esse processo do que imagina.
Este conteúdo é informativo e baseado em estudos científicos recentes. Para orientação personalizada sobre sua saúde metabólica, consulte um nutricionista ou médico.
Leia mais ⌕
Fique por dentro das notícias
Quer receber as principais notícias da semana resumidas? Deixe seu e-mail e acompanhe tudo o que acontece sem pagar nada por isso.

